中心院区地址:济南市解放路105号
东院区地址:济南市历城区经十路5106号
客服电话:0531-55739999
微信服务号
全功能智慧医院泌尿系结石包括肾结石、输尿管结石、膀胱结石及尿道结石等,这些随处可见的泌尿系统疾病名称,常常令患者闻“石”丧胆,且在发作之时被折磨得痛不欲生,却又是能忍刚忍,不到万不得已,绝不会主动到医院去治疗。

网格资料图片
为什么绝大多数泌尿结石患者如此心惊胆战?
这是因为,对于泌尿系结石的治疗,方式多样,患者难辨优劣,轻易不敢以身试“治”。
4月14日凌晨,济南市章丘区的王先生的泌尿结石发作了,在家整整一天不能上班,左侧腰部、腹部疼痛伴恶心。王先生今年32岁,去年单位查体,发现有肾结石,医生建议尽快治疗。但是,王先生认为偶尔发作时疼得不厉害,还能忍受,就没听从医生建议。另外,王先生觉得泌尿系结石的治疗广告太多,各家医院都有各自的说法,不知道应该相信谁。这一次,疼痛非常剧烈,既不能正常下班,也不能在家好好休息,只能下决心到医院就诊。
经过在手机上一番搜索,王先生果断选择了济南市中心医院东院区泌尿外科。为什么做出这样的选择?王先生说:“泌尿系统患有结石的人很多,所以各家医院都能治疗结石,但我发现,医生在为病人解决掉结石的过程中,能够起到决定性作用的是医生的经验,加上先进的设备,二者缺一不可。中心医院东院的体外冲击波碎石治疗主设备,据我所查阅的信息,其各项技术指标应该属于省内很先进的水平。”
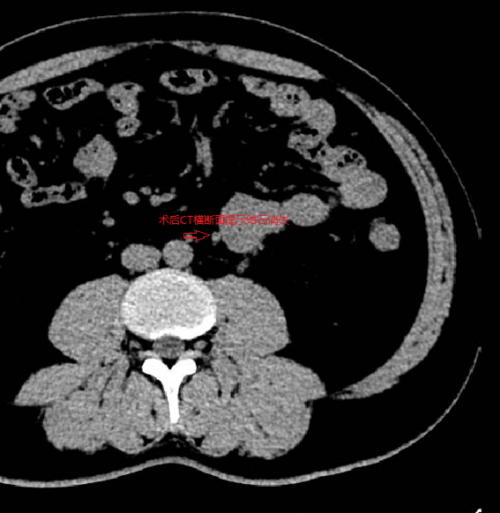
4月15日,在家难受了一天的王先生来到济南市中心医院东院区泌尿外科,CT检查提示“左侧输尿管结石并左肾积水”,结石大小约11×4.2×3.2mm。

CT检查锁定结石所在的位置
大小约11×4.2×3.2mm的结石是个什么概念?济南市中心医院东院区泌尿外科主任郭峰介绍说:“结石的大小相当于一粒花生米,这么大的结石难以自然排出体外,需要我们非常精准地进行碎石,并且需要确保碎石过程中避免对正常组织造成损伤,真正实现无创碎石。”

碎石后的CT检查让患者彻底放心
入院当天,完善相关检查,并在超声、X线双定位下行体外冲击波碎石治疗。碎石后,患者疼痛症状消失,第一次排尿就排出多枚碎石颗粒,后又排出大小约3×4mm碎石颗粒。复查CT,患者左侧输尿管结石完全排出。
据胡春海医生介绍,患者王先生的治疗效果堪称立竿见影,充分体现出体外冲击波碎石机治疗结石的技术性能优势,创伤小、痛苦少、花费省、见效快,这些显著优势快速赢得了年轻患者的认可。济南市中心医院东院区泌尿外科的全自动智能双定位体外冲击波碎石系统,采用全新人机工程学设计,将先进技术与医患实需融和一体,采用X射线、B超双定位系统配上智能导航系统,使其成为会思考的智能碎石机,可为患者提供安全、舒适、有效的自动结石定位并实现智能化碎石。

郭峰主任团队为患者碎石中
泌尿系统结石有大有小,而且结石所在位置各异,患者应该如何选择?郭峰主任提示:体外冲击波碎石适应与小于2cm的肾结石(肾下盏结石<1.5cm)、全段输尿管结石、膀胱结石及尿道结石,东院泌尿外科为广大结石患者提供一站式服务,从体外碎石到药物排石、到物理震动排石、到输尿管镜碎石、到经皮肾镜碎石、到腹腔镜下切开取石等,实现全方位治疗泌尿系结石。