中心院区地址:济南市解放路105号
东院区地址:济南市历城区经十路5106号
客服电话:0531-55739999
微信服务号
全功能智慧医院2023年9月份的一天早上,69岁的王女士在超市购物时不慎摔伤,导致右上臂疼痛畸形伴活动受限,随即拨打120,由救护车送入我院中心院区急诊科。急诊值班医师立即给予患肢制动,吊带悬吊,查体后,完善上臂X线片检查,提示右肱骨粉碎骨折。患者及家属知道结果后顿时心急如焚。患者本身患有高血压、糖尿病多年,身体条件相对欠佳,患者既往无手术史,对手术产生了一定的恐惧心理。但是现在患者右前臂肿胀畸形明显,活动完全受限,手术指征明确。急诊医师给患者讲明病情,安抚患者情绪,积极同创伤中心值班医生吕豪副主任医师联系沟通,吕主任了解到情况后,决定把患者收入院进一步治疗。

*患者术前X片
患者既往高血压、糖尿病病史10余年,入院后完善术前检验、检查,监测患者血糖、血压情况,患者血糖血压控制欠佳,请心内科、内分泌科医师会诊,根据会诊予以进一步治疗,待患者血糖、血压控制稳定后,排除绝对手术禁忌,积极准备手术治疗。吕豪副主任医师带领小组积极进行术前讨论,结合查体及影像学资料考虑,患者骨折线长,普通钢板难以固定,经讨论后,吕主任积极向院内申请加长定制钢板,为患者制定最佳手术治疗方案。
手术方案决定后,吕主任医疗团队积极同患者及其家属沟通,告诉患者手术的必要性,并安抚患者的紧张焦虑情绪,患者及其家属期望早期康复,回到正常生活。吕主任医疗团队与患者及其家属全面沟通后,积极进行术前准备。

*资料图片
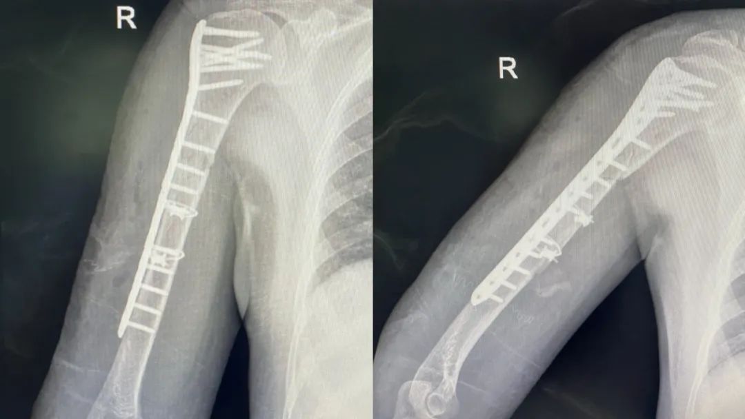
在麻醉科及手术室各位同仁的高效配合下,患者的手术顺利完成。

*患者术后X片
术后,吕豪副主任医师及医疗团队术后查看患者,患者一开始因恐惧而不敢锻炼,吕主任对患者进行耐心详细的解释,并指导患者进行患肢功能锻炼。术后第三天的时候,患者从骨折的痛苦中出走出来,患者可以进行耸肩、肩外展、曲肘等动作,患者及家属对于手术疗效非常满意,向吕主任医疗团队表达了由衷的感谢。

*患者进行术后康复训练
此例手术的难度在于,既要解剖复位粉碎的骨折断端,又要保护好周围的血管、神经,非常考验医疗团队的手术技巧及解剖知识,吕豪副主任医师团队利用科室特色和优势,精益求精,积极开展新技术、新项目,为患者提供更好服务,为广大群众的健康保驾护航。