中心院区地址:济南市解放路105号
东院区地址:济南市历城区经十路5106号
客服电话:0531-55739999


2022年11月08日15时左右,120紧急送至济南市中心医院东院区急诊医学科一名17岁男性患者,在家中被发现意识不清,躁动明显,并诉其床旁一瓶白酒仅剩半瓶。
家人怀疑患者深度醉酒,东院区急诊医学科值班医师赵云来立即查看患者:口唇略有紫绀,舌后坠明显,闻口周略有酒气,血压84/56mmHg,呈休克状态,且瞳孔缩小。
综合多方面的信息,赵云来主治医师立即判断:单纯用酒精中毒,难以解释患者目前病情。经过进一步追问,得名该患者近期与父母不和,有一定的精神障碍,遂立即想到患者镇静催眠类药物中毒的可能,即可安排患者行颅脑CT、上腹部CT检查以进一步快速验证诊断。
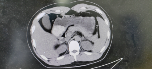
很快,上腹部CT检查提示:胃部呈高密度影,结合病史症状,临床高度怀疑口服镇静催眠药物的可能。遂在应用药物稳定血压与呼吸的同时,给予洗胃治疗,现场洗出大量绿色液体,洗胃后紧急收治急诊病房。
*胃部高密度影
患者病情危重,此时,患者化验指标乳酸已达5.6mmol/L。这是一项反应危重程度的指标,正常值是0.5~1.5mmol/L。 东院区急诊医学科谢伟主任、汤庆宾副主任查看患者后,指示:立即给予患者持续胃肠减压、导泄,多巴胺应用升压、稳定呼吸、特效解毒药应用等综合治疗,同时给予血液灌流治疗,以快速清除患者血液中的药物成分,解除对患者血压与呼吸的抑制。 *急诊医学科主任谢伟、副主任汤庆宾查房 经过2次血液灌流治疗,患者升压药逐渐停用,呼吸平稳,乳酸也降至正常,渐渐苏醒,并自诉口服相关镇静催眠类药物劳拉西泮等共计160余片,已超致死剂量。此后,在东院区急诊医学科医护人员的精心护理下,又经过几天的康复治疗,患者病情稳定出院。 *患者出院时合影 东院区急诊医学科谢伟主任介绍,该患者病情重,进展快,因急诊医学科在入院之初科学评判,诊断及时、血液净化措施到位,从而避免了该患者因呼吸抑制而行呼吸机辅助通气治疗,减少了并发症的发生,缩短了住院时间。 东院区急诊医学科团队对于急性中毒的识别与救治具有丰富的临床经验,在镇静催眠药中毒、百草枯及敌草快中毒、有机磷农药中毒、有害气体中毒方面积进行了系列的研究,积累了大量的经验,对危重型急性农药中毒救治采取物理排毒、特效解毒剂突击量疗法、早期序贯性机械通气、血液净化及脏器支持的多维度治疗,居国内领先水平。能够熟练应用以下急救技术救治中毒患者:IABP、PICCO 血流动力学监测、胸阻抗法无创血流动力学监测、血液灌流-床旁血液滤过-人工肝血液净化多模治疗,DPMAS、血浆置换、双重滤过血浆置换、床边超声引导经皮紧急临时心脏起搏术、经皮气管切开置管、床边纤维支气管镜检查与肺泡灌洗、床旁超声评估血流动力学及颅内压、序贯性无创-有创机械通气、神经多模监测技术、脑氧饱和度监测技术、床旁毒物快速鉴定与气相色谱仪毒物浓度检测、中毒患者快速洗消规范化处置技术等急救新技术。 近5年来承担中毒类省市级课题5项,发表中毒类相关SCI及核心期刊论文23篇,曾荣获山东省卫健委急性中毒应急处置比赛二等奖、中国医师协会急诊医师分会全国中毒病例演讲大赛一等奖,山东省毒理学会中毒科普演讲大赛一等奖,中毒科普作品获山东省医学会科普比赛二等奖等。 居家镇静催眠药中毒的紧急处置 镇静催眠药中毒症状的轻重,取决于进入人体的药物种类、途径、剂量、作用长短、发现时间的早晚和病人的身体状况。根据中毒的不同程度有着不同的表现: 一、中毒的分类 1.轻度中毒:头晕、嗜睡、反应迟钝、一般血压、呼吸等正常。 2.中度中毒:进入深睡状态,言语很难唤醒,但对刺痛可有反应。呼吸浅、心跳减慢,尚有规律,血压仍可正常。 3.重度中毒:深昏迷,对外界事物和强烈刺激无反应,四肢冰冷,面色苍白,口唇紫绀,呼吸浅慢不规则,脉搏弱,血压下降,可有休克。 二、镇静催眠药物中毒的现场处理方法 1. 立即停止接触安眠药,大量口服镇静催眠药者,若发现时中毒者仍神志清楚,要先让其多饮水,然后用手指刺激咽喉部,进行催吐。若服药已超过6小时,一般催吐无效。 *催吐治疗(网络图片) 2. 若中毒者神志不清,需让中毒者平卧或侧卧,让其头偏向一侧,头部充分后仰,以防舌后坠造成窒息,并注意保持温暖;警惕患者呕吐,防治窒息。 *侧卧,头偏向一侧,防止窒息(网络图片) 3.若中毒者发生抽搐,注意及时清除口腔分泌物,防止呕吐物误吸入气管、肺内。 4.寻找可疑的药物、药瓶及呕吐物,并随同病人一起送往医院,协助医生诊断。 5. 立即拨打急救电话120,尽快送医院治疗。 三、加强镇静催眠药的管理 1.可采取上锁等措施加强安眠药的管理。贮存时应放于儿童不易触及的位置。 2.平素服用镇静催眠药物期间不宜饮酒。酒后服用安眠药,两者可能具有协同作用,会使人昏睡时间更长,甚至可能会加剧中枢抑制,引起呼吸抑制。 3.服用安眠药物后,常见药效残留,会引起反应力、注意力的下降,因此,服药期间不宜从事驾驶车辆、高空作业、甚至水边作业等工作。 4.安眠药常见的不良反应,包括嗜睡、头晕、平衡能力下降等。因此,老年病人服药期间应小心活动,避免摔伤。 5.服药期间应该遵循医生的处方用药,不可随意增加药量。 6.有倾向的病人,尤其是针对青少年及老人,除了积极治疗原发病,对药物也要做到严格的控制,做到少量分次给药。