中心院区地址:济南市解放路105号
东院区地址:济南市历城区经十路5106号
客服电话:0531-55739999
微信服务号
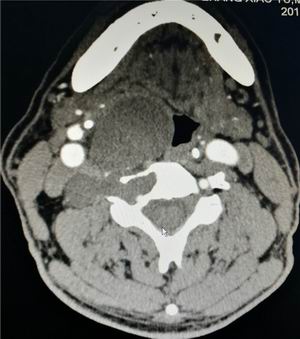
互联网医院在治疗大叶性肺炎同时,治疗组就病人病情进一步检查、讨论后,考虑患者颈椎肿瘤为神经源性良性肿瘤,位于环椎至颈5椎体水平右侧,颈3、颈4椎体及右侧横突孔破坏,呈分叶状。向外至颈内动脉后侧,咽喉部被挤压向左侧移位,肿瘤巨大,少见,周围解剖结构复杂;向左是咽喉要道,长时间压迫,壁薄,易损伤,术中、术后发生瘘道,继发感染,死亡率高;向右是颈内动静脉、迷走神经,后方是脊髓,稍有不慎脊髓损伤就瘫痪。上方是颌下腺、面动静脉,后上方有舌下神经,中间有甲状腺上动脉、喉上神经,后下方是甲状腺下静脉、喉返神经,后外侧有重要的椎动脉、静脉,神经、血管一旦损伤,很可能造成病人失血性休克、死亡、永久性神经损伤后遗症。可以说在一个狭小地区,布满地雷,而且下颌阻挡,安全操作空间非常有限。如此复杂病例,文献没有同样的成功案例借鉴,关键是病人目前除咽部异物感外,无明显其它症状,需要手术切除吗?手术能不能完成?手术后能不能不留后遗症?请北京、上海的大专家是不是成功率更高?
手术的指证无疑是明确的,虽是良性肿瘤,没有明显症状,但3年来,肿瘤在逐渐增大,椎体破坏严重,随时可能病理骨折,脊髓压迫,四肢瘫痪;咽喉部压迫,病人吞咽困难;肿瘤再增大,切除困难。在与病人及家属多次交流后,病人及家属放弃请北京、上海大专家手术,充分相信中心医院的实力、相信主刀医师水平,要求张庆国、刘淑恒2位医师为其手术。张庆国、刘淑恒2位医师,深知这是难度极高的颈椎肿瘤手术,有点后遗症就难以接受,何况病人术中出现重大并发症几率非常高,且病人咽喉部肿瘤压迫、移位,气管插管困难,怎么办?
面对重重困难,迎难而上。在龚维明主任主持科室讨论后,向医务处申报重大手术,取得医务处领导鼎力支持后,有条不紊的展开术前准备。请麻醉科仇大海会诊,确定插管各种预案,为保安全,决定清醒插管。手术当天,在麻醉科王芹、仇大海、程红3位经验丰富的麻醉师协力下,历时半小时,清醒插管成功。在耳鼻喉科段朔南主任护航下,在手术室陈辉、滕芳芳配合下,术中2位医师采用高位咽后、颈右侧斜切口2个联合切口显露肿瘤,历时5小时完全切除肿瘤,颈3及颈4两节椎体次全切,颈椎稳定性重建,无术中并发症发生,麻醉平稳,没有手术后遗症,刀口甲级愈合,痊愈出院。
现患者已手术后1月,复查证实肿瘤切除彻底,颈椎稳定重建维持好,病人及家属对治疗非常满意。这例手术的成功,标志着脊柱外科在诊治脊柱疑难疾病上有充分的自信和实力保障,也标志着麻醉科医师在复杂病情下,具有群策群力的团队精神,展示了我院多学科合作,提升技术,服务病人,共创医院新局面、新气象。

术前CT

术前CT

术前MRI

术前MRI

术后侧位片

术后正位片

显露肿瘤

切除的肿瘤